
Definamos primero qué es la fluorosis y cómo se adquiere.quiere.quiere.

Es una alteración de color pre-eruptiva causada por el contacto del germen dental con altas concentraciones de flúor, que causa una
hipomineralización y porosidad del esmalte. Se presenta desde manchas blancas intensas hasta manchas marrones. Se puede dividir
en grados de afectación, donde el grado más severo se acompaña de manchas marrón y blancas con pérdida de continuidad del
esmalte. El ion flúor puede estar presente en el agua de consumo (donde principalmente es adquirido), bebidas embotelladas comerciales
(jugos,refrescos, agua, etc.), pastas dentales y enjuagues bucales, vitaminas, suplementos, productos profesionales dentales, entre otras
cosas.
Fluorosis grados 2-3 generalizada.
Fluorosis grados 1-2.
La sobrexplotación de mantos acuíferos que abastecen a varias ciudades de México ha tenido como
consecuencia la necesidad de obtener agua potable de pozos cada vez más profundos. Esto ha dado
como resultado que la concentración de fluoruro aumente debido a la precipitación de este ion en las
profundidades de las fuentes de suministro de agua que abastecen a la población. Algunas ciudades del
país, como San Luis Potosí, están ubicadas en zonas semidesérticas donde el agua de lluvia no es
abundante; los habitantes de estas áreas mantienen el suministro de agua mediante pozos, los cuales
tienen altas concentraciones de fluoruro en forma natural según estudios realizados.
En otro estudio se encontraron diferencias estadísticamente significativas entre la gravedad de fluorosis
dental y las concentraciones de fluoruro tanto en agua de consumo como en orina en las diferentes áreas
de riesgo. Desafortunadamente, en este estudio se encontraron casos de fluorosis dental severa y muy
severa en las áreas de bajo y mediano riesgo, lo que sugiere que en la ciudad de San Luis Potosí existe
exposición materna a flúor de varias fuentes de exposición como son: hervir el agua de consumo (la cual
aumenta la concentración en un 60 a 70%), preparar alimentos con agua contaminada y consumir bebidas
embotelladas sin un adecuado control de sales de fluoruro. lo que pone en riesgo para el desarrollo de
fluorosis en dentición permanente y esquelética en la población adulta.
En los dientes permanentes se afectan los dientes anteriores con mayor severidad y la coloración predominante es en tonos
café, mientras que en la dentición temporal se afectan con mayor severidad los molares y la coloración predominante es
blanco mate, debido a que el daño en el esmalte de los órganos dentarios temporales se inició in útero en un tiempo de
exposición corto y que continúa durante el desarrollo posnatal y a que el grosor del esmalte en dentición primaria es menor.

La importancia de la detección de fluorosis en dentición temporal radica en que representa un predictor de fluorosis en
dentición permanente, la identificación de defectos en el esmalte en la dentición decidua puede representar una oportunidad
para modificar los regímenes de ingesta de fluoruro y de esta manera reducir la probabilidad de que se presenten alteraciones
en la dentición permanente y tejido óseo.
blanqueamiento por microabrasión, en la cual se elimina de la superficie la mancha y el resto del diente
mantiene su tono natural. Después de esto se puede blanquear con cualquier otro método para aumentar
el valor del color del diente (más blancura).
![]() ![]() |
|
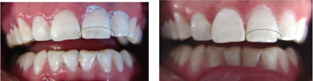
En este paciente se realizó microabrasión exclusivamente, después se pueden blanquear con cualquier método profesional. |
![]() |
|
En este caso se realizó microabrasión exclusivamente para disminuir la tonalidad marrón y manchas blancas, para después continuar si es deseo del paciente con un blanqueamiento profesional. |
el procedimiento anterior y el blanqueamiento zonificado (mapeado) en oficina para controlar que blanquear
y que no blanquear pues las manchas blancas ya están blancas y se busca balancear el color general del
diente, si queda alguna mancha cuya profundidad es mayor, se recomienda ocultarla mediante un
procedimiento
cosmético, resina o carilla.
![]() |
| Blanqueamiento aplicado por la técnica de mapeo sin realizar microabrasión. |
![]() |
|
Este paciente se trató primero con microabrasión,
luego blanqueamiento láser en 4 sesiones y después
el defecto en el incisivo central superior izquierdo se restauró cosméticamente con una resina igual al resto del color nuevo del diente.. |
| Se realizó microabrasión inicial + 4 sesiones de blanqueamiento láser en consultorio por la técnica de mapeo. |
![]() |
|
Paciente tratado con microabrasión y confección de 2
carillas de porcelana en los 2 incisivos centrales afectados. |
![]() |
|
|
Paciente tratado por todos los procedimientos
estéticos para devolver función y estética,
microabrasión + blanqueamiento + Carillas de porcelana.
Como puedes ver
el éxito del tratamiento.
Radica en 2 factores
principalmente:
1.
El grado de
fluorosis y los dientes
afectados.
2. El deseo estético personal del
grado de perfección de la
sonrisa, es
decir en pocas palabras...qué tan
blancos y
perfectos los quieres.Todos estos
tratamientos
son conservadores, unos más que otros
pero
ninguno provoca un daño mayor del que el
paciente ya tiene.
Copyright
© 2023 Dr. Javier Saldivar V. All Rights Reserved.
|














.jpg)




.png)




